SALUTE


LEGAMENTO CROCIATO

Lesione del legamento crociato

Il legamento crociato è una parte importante del ginocchio del cane e la sua lesione al crociato è un problema ortopedico piuttosto comune. Pur non essendo una lesione grave o pericolosa per la vita, è una situazione da risolvere per restituire benessere al vostro cane.

E' importante capire i segni e trattamenti di questa lesione, così come imparare a prevenirla. Il ginocchio è un'articolazione complessa formata dalla rotula, dalla cartilagine e dai legamenti che collegano il femore alla tibia. Questi componenti permettono all'articolazione di funzionare correttamente. Il ginocchio ha due legamenti stabilizzanti essenziali che si incrociano tra loro all'interno del ginocchio: il crociato craniale (o anteriore) e caudale (o posteriore). Il malfunzionamento di anche una sola parte del ginocchio può causare un elevato grado di disagio e zoppia. Dei tanti infortuni che possono verificarsi al ginocchio, la lesione del crociato è tra le più comuni.

CAUSE

La lussazione rotulea avviene quando questo osso si muove al di fuori del solco della parte distale del femore; il mal posizionamento della rotula può avvenire in senso mediale(all’interno del ginocchio) olaterale (all’esterno del ginocchio).

 

La sintomatologia può presentarsi in maniera acuta, con zoppia che si manifesta in maniera improvvisa, associata o meno a guaiti, e si risolve in pochi istanti (il cane muove la zampa in modo da far tornare la rotula nella sua posizione naturale), oppure con una zoppia cronica di grado moderato, associata a rigidità “a freddo” (nei casi cronici la sintomatologia è data dallo sviluppo di osteoartrosi e consumo anomalo delle cartilagini articolari.)
A volte il proprietario riferisce che la rotula si “vede” o si “sente” saltare nella sua posizione naturale quando il cane o il gatto flette ed estende il ginocchio.

CAUSE

Una lesione del legamento crociato può verificarsi per diversi motivi. Talvolta è semplicemente il risultato di uno sforzo atletico in un cane sano, come può essere un atterraggio "sbagliato" mentre corre o salta. Cani in sovrappeso o obesi sono maggiormente sottoposti a questo tipo di lesione, perchè sopportano più peso e spesso hanno articolazioni più deboli. Inoltre esiste anche predisposizione di razza.

La rottura del crociato non sempre può essere prevenuta, ma il rischio può essere ridotto mantenendo il vostro cane ad un peso ideale e sottoponendolo a un giusto esecizio fisico. Una lesione al legamento crociato è il risultato di una rottura parziale o completa. Il legamento crociato craniale è quello più comunemente colpito, anche se il caudale è più sottoposto a rompersi. In caso di lesione al legamento crociato, la tibia si muove liberamente sotto al femore, con conseguente dolore e andatura anomala. Una zoppia improvvisa in una zampa posteriore è spesso il primo segno di lesione. Se la lesione non viene trattata, i problemi artritici possono iniziare molto rapidamente, provocando zoppia a lungo termine e disagio. Se il vostro cane mostra segni di dolore o zoppia, è consigliato far esaminare il vostro cane da un veterinario entro un paio di giorni.

DIAGNOSI

La diagnosi viene emessa sulla base dei rilievi della visita clinica; l’esame radiografico del ginocchio può aggiungere informazioni circa la conformazione dell’arto posteriore e lo stato dell’articolazione (presenza di osteofiti, aumento liquido articolare etc.)

INTERVENTO CHIRURGICO

In caso di intervento chirurgico, in generale, la prognosi è buona. Esistono approcci chirurgici diversi, ognuno con i suoi pro e contro.

La procedura chirurgica tradizionale è detta "intervento extracapsulare", in cui il legamento danneggiato viene rimosso e un filo robusto va a sostituire la funzione del legamento crociato. E' una procedura relativamente rapida e semplice che può aver successo in molti cani, soprattutto di medie e piccola taglia. E' meno costoso rispetto ad altri metodi, ma il successo a lungo termine non è eccellente.

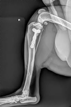
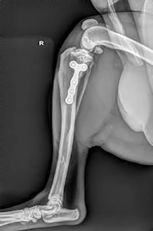
Un'opzione chirurgica sempre più usata è la TPLO (osteotomia del livellamento del piatto tibiale). Questa è una procedura molto più complessa rispetto al metodo tradizionale extracapsulare:la TPLO altera il meccanismo dell'articolazione del ginocchio, che permette di funzionare correttamente senza un legamento crociato. Viene eseguito un taglio nella parte superiore della tibia (plateau tibiale), poi il plateau tibiale viene ruotato per cambiare l'angolo e viene fissata una piastra metallica per mantenere l'osso in posizione. Nell'arco di diversi mesi, l'osso guarisce nella sua nuova posizione. Un parziale miglioramento può essere visto in pochi giorni, tuttavia, per il pieno recupero occorrono diversi mesi ed un periodo di permanenza in gabbia è essenziale. In generale, la prognosi a lungo termine è molto buona, e il re-infortunio è raro. Il piatto non ha bisogno di essere rimosso a meno che non si verifichino problemi in seguito.

Un terzo e più recente metodo chirurgico è chiamato TTA (avanzamento della tuberosità tibiale). Come la TPLO, la TTA permette al ginocchio di funzionare senza un legamento crociato. I dettagli di questo metodo sono leggermente diverse, poichè la TTA comporta taglio della tibia e riposizionamento. L'anatomia del cane è un fattore decisivo per la scelta del tipo di intervento.

Indipendentemente dal tipo di intervento chirurgico, un periodo di riposo post operatorio di otto settimane o più è fondamentale per il processo di guarigione. Inoltre, la terapia fisica è spesso raccomandata ed è estremamente efficace per il recupero a lungo termine.

FISIOTERAPIA E RIABILITAZIONE DEL LEGAMENTO CROCIATO DEL CANE

In caso di intervento chirurgico, in generale, la prognosi è buona. Esistono approcci chirurgici diversi, ognuno con i suoi pro e contro.

La procedura chirurgica tradizionale è detta "intervento extracapsulare", in cui il legamento danneggiato viene rimosso e un filo robusto va a sostituire la funzione del legamento crociato. E' una procedura relativamente rapida e semplice che può aver successo in molti cani, soprattutto di medie e piccola taglia. E' meno costoso rispetto ad altri metodi, ma il successo a lungo termine non è eccellente.

Un'opzione chirurgica sempre più usata è la TPLO (osteotomia del livellamento del piatto tibiale). Questa è una procedura molto più complessa rispetto al metodo tradizionale extracapsulare:la TPLO altera il meccanismo dell'articolazione del ginocchio, che permette di funzionare correttamente senza un legamento crociato. Viene eseguito un taglio nella parte superiore della tibia (plateau tibiale), poi il plateau tibiale viene ruotato per cambiare l'angolo e viene fissata una piastra metallica per mantenere l'osso in posizione. Nell'arco di diversi mesi, l'osso guarisce nella sua nuova posizione. Un parziale miglioramento può essere visto in pochi giorni, tuttavia, per il pieno recupero occorrono diversi mesi ed un periodo di permanenza in gabbia è essenziale. In generale, la prognosi a lungo termine è molto buona, e il re-infortunio è raro. Il piatto non ha bisogno di essere rimosso a meno che non si verifichino problemi in seguito.

Un terzo e più recente metodo chirurgico è chiamato TTA (avanzamento della tuberosità tibiale). Come la TPLO, la TTA permette al ginocchio di funzionare senza un legamento crociato. I dettagli di questo metodo sono leggermente diverse, poichè la TTA comporta taglio della tibia e riposizionamento. L'anatomia del cane è un fattore decisivo per la scelta del tipo di intervento.

Indipendentemente dal tipo di intervento chirurgico, un periodo di riposo post operatorio di otto settimane o più è fondamentale per il processo di guarigione. Inoltre, la terapia fisica è spesso raccomandata ed è estremamente efficace per il recupero a lungo termine.


Fonte: Dott.ssa Valentina Taccini - Fisioterapia Veterinaria Pisa